Las zoonosis parasitarias son enfermedades causadas por parásitos transmitidos por los animales al hombre y viceversa.
Las zoonosis parasitarias son enfermedades causadas por parásitos transmitidos por los animales al hombre y viceversa. Las vías comunes de infección son contacto directo, ingestión de formas infectantes, transmisión alimentaria o picadura de insecto vector.
Como definición, los parásitos son seres eucariotas que viven a expensas de otros organismos que invaden. Se clasifican en tres grandes grupos: protozoos, helmintos (trematodos, cestodos y nematodos) y artrópodos. Además, según su localización pueden ser endoparásitos (tenias) o ectoparásitos (garrapatas, pulgas).
El impacto de las diversas zoonosis parasitarias es variable, según la prevalencia y gravedad de la patología que producen. La distribución y endemicidad guarda relación con las diferentes condiciones ambientales de diferentes zonas del mundo, características socioeconómicas y hábitos poblacionales.
La lista de enfermedades de declaración obligatoria incluye algunas de estas zoonosis parasitarias, mientras otras no están sujetas a vigilancia, lo cual dificulta determinar su impacto. Este artículo recoge las zoonosis parasitarias de declaración obligatoria en España.
La criptosporidiosis
Está causada por el protozoo Cryptosporidium parvum, que afecta al humano y a terneros y corderos jóvenes. Existe otra especie, Cryptosporidium hominis, que infecta casi exclusivamente a humanos.
Este microorganismo se transmite por vía fecal-oral, por ingestión de ooquistes infecciosos, contacto directo con personas o animales infectados o por agua y alimentos contaminados. Sus quistes pueden sobrevivir durante meses en suelo húmedo o agua y soportar condiciones ambientales adversas durante largos períodos de tiempo.
La enfermedad puede ser asintomática o causar molestias intestinales con diarrea. Suele resolverse espontáneamente, pero en personas inmunodeprimidas se pueden desarrollar cuadros graves y ser potencialmente mortal.
La giardiasis
La infestación por el protozoo llamado Giardia lamblia, Giardia intestinalis o Giardia duodenalis afecta tanto a humanos como a animales (perros, gatos, vacas y ovejas). En el medio ambiente, los principales reservorios del parásito son las aguas superficiales.
Los quistes de giardia pueden sobrevivir durante largos períodos de tiempo en el medio ambiente y la cloración del agua por sí sola no puede inactivarlos. Se transmite por contacto personal con pacientes o animales infectados o por exposición a alimentos o agua contaminados. Los bebés y los niños corren un riesgo particularmente mayor de infección.
Las personas infectadas pueden permanecer asintomáticas o desarrollar diarrea aguda o crónica. Puede producirse también hinchazón, fatiga y mala absorción de vitaminas y grasas.

La hidatidosis
Esta enfermedad zoonótica está causada por la etapa larval (quiste hidatídico) de la tenia Echinococcus granulosus. Las formas adultas viven en el intestino del hospedador definitivo, el perro (también zorros), que elimina huevos con las heces. Esos huevos pueden ser ingeridos por los hospedadores intermediarios, ovejas, cabras, cerdos y humanos.
Los huevos eclosionan y liberan las larvas en el duodeno, que traspasan la barrera intestinal y migran a ciertos órganos (hígado, pulmón, riñón, encéfalo) donde formarán quistes. Los perros se infectan por la ingestión de vísceras crudas de hospedadores intermediarios infectadas con quistes.
La mala higiene de manos, el contacto cercano con animales infectados y el consumo de alimentos mal cocidos y sin lavar previamente contaminados con huevos de equinococo (por ejemplo, verduras) son factores de riesgo. Aparte de limpiar mejor los alimentos y cocinar las carnes, la desparasitación regular de los perros y correcta eliminación de sus heces son una herramienta para la prevención de la hidatidosis.
Los síntomas son diferentes según el órgano afectado y se manifiestan debido al aumento de tamaño de los quistes. El tratamiento, según el caso, puede requerir cirugía y uso de medicamentos antihelmínticos específicos.
La leishmaniasis
Esta enfermedad causada por protozoos del género Leishmania se transmite por picadura de mosquitos de los géneros Phlebotomus (Europa, África y Asia) o Lutzomyia (América). Los reservorios son principalmente perros, pero también otros mamíferos.
La leishmaniasis se manifiesta de diferentes formas. La forma cutánea causa llagas en la piel que a menudo se curan solas en unos pocos meses. La forma mucocutánea produce lesiones más profundas a nivel mucosa. La leishmaniasis visceral causa una enfermedad sistémica que se presenta con fiebre, malestar general, pérdida de peso y anemia, inflamación del bazo, el hígado y los ganglios linfáticos.
La mejor manera de prevenir la leishmaniasis es evitar la exposición al vector, el diagnóstico precoz y el manejo adecuado de los casos, tanto de humanos como de animales domésticos que actúen como reservorio y mediante medidas de control del vector y del reservorio zoonótico. Existen fármacos para tratarla, pero no hay vacunas comercializadas para humanos. Solo hay vacunas frente a la leishmaniasis canina, aunque su eficacia es aún controvertida.
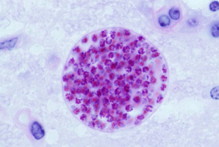
La toxoplasmosis
Los gatos son el principal reservorio del parásito causante de esta enfermedad que es el protozoo Toxoplasma gondii. Estos microorganismos excretan quistes en el medio ambiente capaces de infectar a muchos animales y a los humanos. Los quistes de toxoplasma pueden sobrevivir en el medio ambiente durante mucho tiempo.
La infección se produce al comer carne poco cocinada infectada con quistes (especialmente cerdo y cordero), al ingerir quistes presentes en alimentos (verduras mal lavadas) o en agua contaminadas, por ingestión de heces de gatos infectados o por transmisión directa de madre a hijo durante el embarazo.
La infección no suele producir síntomas en humanos o éstos son muy leves. Sin embargo, la enfermedad puede ser grave en personas inmunocomprometidas o si se produce durante el embarazo. En infecciones congénitas el parásito puede causar malformaciones en ojos o cerebro (con efectos invalidantes en el individuo) o resultar en aborto o muerte perinatal. La toxoplasmosis congénita es prevenible mediante cribado gestacional y adopción de medidas de profilaxis.

La triquinelosis o triquinosis
Se trata de una zoonosis causada por nematodos pertenecientes al género Trichinella, un parásito que inicialmente se localiza en el intestino y da lugar a una nueva generación de larvas que migran a los músculos, donde se enquistan. Muchos animales pueden actuar como reservorios, pero los más frecuentemente implicados en los casos de infección humana son los cerdos, los caballos y los jabalíes.
La infección se produce por vía exclusivamente alimentaria, a través del consumo de carne cruda o poco cocida que contiene las larvas del parásito. En humanos, el cuadro clínico varía desde casos asintomáticos hasta casos particularmente graves e incluso muertes. Los síntomas clásicos se caracterizan por diarrea, dolor muscular, debilidad, sudoración, edema de los párpados superiores, fotofobia y fiebre.
Existen fármacos antiparasitarios para tratar la infección. La prevención de la triquinosis se basa en una inspección precisa de todos los cerdos y caballos sacrificados, lo cual es obligatorio en Europa. La carne importada y de animales silvestres presenta un mayor riesgo y se debe desaconsejar su consumo crudo o poco cocinado.
Enfermedades transmitidas por piojos y garrapatas
La lista de enfermedades de declaración obligatoria de España recoge también otras enfermedades zoonóticas que son transmitidas por ectoparásitos como garrapatas o piojos, pero cuyo agente causal es en realidad una bacteria (géneros Rickettsia, Borrelia) o virus (Flavivirus). Estas son la encefalitis transmitida por garrapata, la fiebre recurrente transmitida por garrapata y la fiebre exantemática del Mediterráneo.
La transmisión se produce generalmente cuando el ectoparásito se nutre de un animal infectado (con esos virus o bacterias) y después lo hace de un humano, inoculándole en el proceso virus o bacterias, que son los que producirán la enfermedad.
Millones de casos en el mundo
El número de casos confirmados en Europa de zoonosis parasitarias puede ir de un centenar (triquinosis) a superar los 14 000 y 19 000 (criptosporidiosis y giardiasis, respectivamente). Los casos de leishmaniasis o de toxoplasmosis congénita rondan los 200 al año y los de hidatidosis los 400.
En otros países, la leishmaniasis y la hidatidosis se incluyen entre las denominadas enfermedades desatendidas, que son un conjunto de patologías infecciosas (causadas por virus, parásitos y bacterias) que afectan a las poblaciones más pobres y con limitado acceso a asistencia sanitaria.
Se calcula que cada año hay entre 700 000 y 1 millón de nuevos casos de leishmaniasis en el mundo, mientras que la prevalencia de la hidatidosis en algunas áreas llega al 10 %. Se calcula que la suma de los costos anuales del tratamiento de la hidatidosis y las pérdidas para la industria ganadera asciende a 3 000 millones de dólares (unos 2 950 millones de euros).
Medidas preventivas
La prevención depende del tipo de parásito y de su forma de transmisión. Además de las indicaciones específicas para cada uno, hay que prestar especial atención a la limpieza de vegetales, consumo de verduras crudas y cocinado de carnes, que deben consumirse bien cocidas. Métodos como la salazón, la curación, el ahumado y el marinado no son tratamientos efectivos para destruir parásitos o quistes.
Asimismo, es importante seguir normas básicas de higiene como lavarse las manos antes de comer y después de ir al baño.
También es fundamental el manejo y tratamiento adecuados de las aguas. Se debe evitar el uso de excrementos de animales como abono, y en general manipular con cuidado las excretas de los animales domésticos y evitar que los niños entren en contacto con ellas.
Leticia E. Bartolomé del Pino, Profesor área Ciencias de la Salud, Universidad Internacional de Valencia
Este artículo fue publicado originalmente en The Conversation. Lea el original.
NUESTROS PODCASTS
¿Qué medidas se tomaron desde la aparición de los primeros casos de la viruela del mono?
La viruela símica es una zoonosis vírica (enfermedad provocada por virus transmitido de los animales a las personas) que produce síntomas parecidos a los que se observaban en los pacientes de viruela en el pasado, aunque menos graves. Con la erradicación de la viruela en 1980 y el posterior cese de la vacunación contra la viruela, la viruela símica se ha convertido en el ortopoxvirus más importante para la salud pública, señala la Organización Mundial de la salud. Esta mañana el doctor Elmer Huerta nos explica qué se hizo para controlar la expasión de la viruela del mono desde su aparición.