Las enfermedades causadas por hongos que afectan a órganos internos son muy difíciles de tratar por la similitud de estos microorganismos con las células animales. Por ello, las preocupaciones ante la coccidioidomicosis, enfermedad fúngica emergente y potencialmente mortal, han crecido.
Las enfermedades causadas por hongos que afectan a órganos internos son muy difíciles de tratar por la similitud de estos microorganismos con las células animales. Entre estas dolencias destacan las candidiasis sistémicas, la infección por criptococos y la aspergilosis.
A continuación profundizaremos en la coccidioidomicosis, enfermedad fúngica emergente y potencialmente mortal. Seguramente no les sonará a muchos de quienes lean esto, pero ha despertado una justificada preocupación en América del Norte, donde su incidencia aumenta año tras año.
Posible arma bioterrorista
 
 Entre los 5 y 20 cm de la capa más superficial del suelo del desierto de Sonora –cuyo territorio se extiende por México y EE. UU.– y de otras zonas americanas similares pueden encontrarse hongos del género Coccidiodes, tolerantes a la desecación y a la sal. Cuando hay sequía, forman estructuras resistentes que se reactivan después de la lluvia, desarrollando micelios que se alimentan de restos orgánicos del suelo.
Después de un breve crecimiento, ese micelio se fragmenta en millones de esporas, denominadas artroconidios, que se dispersan con el polvo del suelo. La coccidioidomicosis se adquiere al inhalar estos artroconidios.
Los artroconidios son muy infectivos; incluso la inhalación de uno solo que alcance los alveolos pulmonares es capaz de producir la enfermedad. Por esta alta infectividad, Coccidioides es considerado un microorganismo con potencial de ser usado en actos de bioterrorismo, como ocurre con el Bacillus anthracis, que produce el ántrax o carbunco.
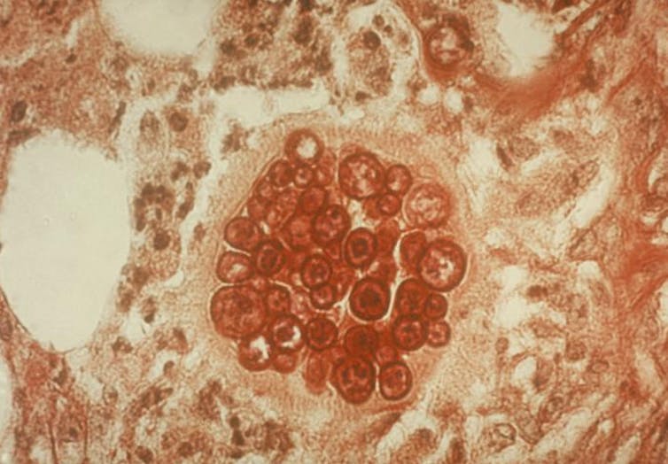
¿Cómo se manifiesta?
Las personas de edad avanzada, las mujeres embarazadas o los individuos con su sistema inmune deprimido forman la población con mayor riesgo de contraer la enfermedad. Se estima que cerca de 350 000 personas se infectan en Estados Unidos cada año. De ellas, dos terceras partes lo pasarán sin síntomas, mientras que el resto sufrirá patologías que van desde la neumonía hasta micosis diseminadas. Estas últimas pueden alcanzar, excepcionalmente, el sistema nervioso central.
En los pulmones, los artroconidios se transforman en esférulas en las que se dividen los núcleos del hongo para producir miles de endosporas, que reinician el ciclo infectivo. Los macrófagos alveolares –la primera línea de defensa inmune– son incapaces de destruir esas esférulas o endosporas, demasiado grandes para ser fagocitadas.
De ese modo, la infección progresa hasta que llegan linfocitos T, un tipo de glóbulos blancos que coordinarán la respuesta inmune celular esencial en el control de la enfermedad. En la mayoría de los casos, la dolencia remite, aunque pueda permanecer latente y reactivarse si las defensas decaen.
 
 Hongos adaptados para atacar
Hay dos especies de Coccidiodes, que no están totalmente aisladas reproductivamente: C. immitis, en California. y C. posadasii, extendido por toda América. Su genoma revela una especialización en el ataque de tejidos animales, lo que sugiere que son verdaderos patógenos: las fases de vida libre en el suelo son meras etapas de transición. De hecho, el aislamiento de Coccicoides del suelo es muy difícil y son necesarias técnicas moleculares para poder detectarlos sin cultivarlos.
No se conoce el reservorio animal de estos hongos, aunque se sospecha de ratones, armadillos o murciélagos. Algunos animales domésticos como los perros pueden también hospedarlos, contribuyendo a su diseminación. Sin embargo, no hay evidencia de transmisión a partir de animales infectados.
Coccidioides induce inmunidad permanente, y el contacto con el patógeno se puede detectar por una respuesta de hipersensibilidad cutánea retardada, similar a la de la prueba de la tuberculina. Esto ha permitido comprobar que hasta el 50 % de la población ha estado en contacto con el patógeno en ciertas zonas endémicas. Esta prevalencia, junto con la inmunidad permanente y la condición generalmente más leve de la enfermedad en los niños, permite pensar en la coccidiomicosis como una enfermedad de la infancia.
Infecciones en progresión
En las últimas décadas, la incidencia de coccidiomicosis ha aumentado, lo que puede estar relacionado con diversas circunstancias:
- El incremento de la movilidad, que expone a personas sin memoria inmune al patógeno en zonas endémicas. 
- La urbanización de zonas rurales, que retrasa la exposición al patógeno y el contagio de la enfermedad a etapas más avanzadas de la vida. 
- El aumento de la población con deficiencias inmunológicas debidas a enfermedades o tratamientos farmacológicos. 
- Y por último, el aumento de las temperaturas, que selecciona cepas del hongo más adaptadas a la vida en mamíferos. 
Además, la semejanza de los síntomas de la coccidiomicosis y otras enfermedades respiratorias, especialmente las fases tempranas de la covid-19, dificulta su diagnóstico diferencial, y la coinfección de Coccidiodes y coronavirus se produce con relativa frecuencia en zonas endémicas.
Las alteraciones en la respuesta inmune causadas por el virus SARS-CoV-2 pueden modificar el curso de la coccidiomicosis, aumentando los casos diseminados de mayor gravedad y letalidad. Por último, tampoco está suficientemente estudiada la coinfección de Coccidiodes con otros patógenos respiratorios tales como Mycobacterium tuberculosis.
La necesidad de investigar más
La pandemia de coronavirus evidencia la necesidad de poner el foco en las enfermedades transmitidas por el aire. La coinfección de diferentes patógenos y sus diferentes respuestas inmunes crea un escenario de investigación básica, clínica y epidemiológica fascinante.
Las pérdidas económicas asociadas a esta enfermedad y su expansión a nuevas áreas, junto a los demás temas aquí tratados, revelan la importancia de estudiar más profundamente la vida e infección por Coccidiodes, desarrollar antifúngicos más efectivos, desarrollar vacunas para poblaciones susceptibles y mejorar los métodos para su detección y control.
Debido a su distribución geográfica, la coccidioidomicosis es poco conocida internacionalmente. Pero lejos de estar controlada, su incidencia tiende aumentar. Sin intervención continuará su transmisión activa en la población.
Arizona y California, en Estados Unidos, tienen experiencia en implementar una vigilancia epidemiológica activa: cuentan con guías y protocolos para la intervención, considerándola una enfermedad de notificación obligatoria. En Sonora y otros estados mexicanos la situación es diferente, por lo que debemos continuar estudiando cómo prevenir esta y otras enfermedades con impacto en la salud pública.
Denisse Patricia Rivera de la Torre, Docente en Salud Pública y Epidemiología en la Universidad de Sonora, Universidad de Sonora y Antonio G. Pisabarro, Catedrático de Microbiología, Departamento de Ciencias de la Salud, Instituto de Investigación Multidisciplinar en Biología Aplicada, Universidad Pública de Navarra
Este artículo fue publicado originalmente en The Conversation. Lea el original.
 
       
           
                              
                              
                              
                              
                             ![¡En plena audiencia! Acusado atacó a jueza que le negó la libertad condicional [VIDEO]](https://e.rpp-noticias.io/small/2024/01/04/mmd-vd-20240104-clj-usa-justiciacriminalidad-349g2vy-es-1520871mp4_1520872.webp) 
                         
                         
                         
                         
                         
                 
                 
                 
                